Cool Invisalign Clovis Ca 2022

California Exclusive Publishing

Invisalign Clovis Ca. To help more patients afford the care they need, nalchajian orthodontics accepts many payment options, insurance plans. When you and your family need the best dentist in clovis, ca, visit our team at valley dental & orthodontics.

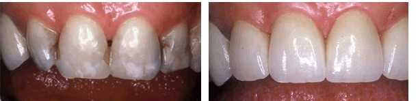
Patient Photos Clovis Cosmetic Dentist
Patient Photos Clovis Cosmetic Dentist from www.clovisdentist.net

Suite 101 clovis, ca 93611. If you are looking for invisalign or regular braces this is the place to go to san francisco! Fresno, suite 302 fresno, ca 93720.

Patient Photos Clovis Cosmetic Dentist

If your dental or medical insurance covers a portion of braces treatment, you likely have this same coverage for invisalign. General dentistry, cosmetic dentists, oral surgeons. Invisalign aligners are designed to move your teeth in small steps to the desired final position prescribed by your orthodontist. The cost of invisalign is similar to the cost of braces.

craigslist san diego ca, ca breez, ftb.ca.gov, edd.ca.gov login, needles ca, craigslist ca, craigslist fresno ca, edd.ca.gov/ui_online, www edd ca gov bpo, www.edd.ca.gov.bpo, beaumont ca weather, ca glue, ca teacher caught berating students, craigslist redding ca, craigslist sacramento ca, dana point ca, edd ca gov ui_online, edd ca login, edd.ca., madre linda ca, pittsburg ca, sun valley ca, www.edd.ca.gov/bpo, campbell ca, chatsworth ca, craigslist bakersfield ca, danville ca weather, dublin ca weather, fairfield ca weather, firebaugh ca, murphys ca, weather dublin ca, wilmington ca, www.edd.ca.gov/ui_online, arnold ca, bridgeport ca, ceres ca, craigslist lancaster ca, edd ca gov bpo, edd ca gov ui online login, edd gov ca login, greenville ca map, lynwood ca, mariposa ca, mill valley ca, quincy ca, san pablo ca, three rivers ca, weather fairfield ca, weather tracy ca, arnold ca weather, brawley ca, ca la maria, ca post, ca sdi, coalinga ca, colfax ca, craigslist monterey ca, craigslist sac ca, craigslist san jose ca, diamond bar ca, edd ca gov ui online, felton ca, galt ca, groveland ca, lori thelen martinez ca, los alamos ca, mira loma ca, moraga ca, pittsburg ca weather, redding ca hotels, ripon ca, rolling loud ca, san marcos ca weather, stanton ca, tiburon ca, ui online ca, valencia ca weather, vista ca weather, weather in weed ca, weather lafayette ca, weather merced ca, weather pittsburg ca, weather san marcos ca, weather vista ca, weed ca weather, 11711 sand canyon rd yucaipa ca, 1774 del mar ave laguna beach ca, anderson ca, buellton ca, buy a mercedes gle coupe in los angeles ca, ca board of pharmacy, capital group in downtown ca, chenoweth woods sebastopol ca, craigs list redding ca, craigslist modesto ca, craigslist palm springs ca, craigslist santa barbara ca, craigslist santa maria ca, craigslist santa maria ca., foster farms fresno ca, foster lumber lodi ca, foundation repair of ca, fountain valley weather ca, freddy's victorville ca, free food delivery stockton ca, freightliner fontana ca, fremont ca costco, fremont ca hotel, fremont ca indian restaurants, fremont ca map, fremont ca restaurants best, french gulch ca, fresenius concord ca, fresnocourts ca gov, from the hearth redding ca, full spectrum ink rocklin ca, funeral homes in stockton ca, furniture stores concord ca, furniture stores ontario ca, furniture stores visalia ca, fusion metal works hesperia ca, galaxy theaters tulare ca, galleria at tyler 1299 galleria at tyler riverside ca 92503, gamestop lancaster ca, garbage pick up pleasant hill ca, garberville ca restaurants, gardening services irvine ca, gas cost in ca, gas price in la ca, gas prices in orange county ca, gasoline price los angeles ca, gay clubs los angeles ca, giardini bella apartment homes riverside ca 92504, gilbert aguilar fresno ca, glen allen ca, glen ellen ca restaurants, glendale ca dog daycare, glendale ca map, glendora ca zip code, gmc bakersfield ca, goffs ca, gold run ca, goleta ca weather, golf club of ca, goodwill perris ca, goodwill roseville ca, google news ca, govt jobs fresno ca, gracias madre melrose avenue west hollywood ca, grand central market south broadway los angeles ca, granite hills ca homes for sale, granzella's williams ca, grapevine ca weather road conditions today, great clips auburn ca, green ca, greenbrea ca, greens apartments woodland ca 95695, greenwood ca weather, grenada ca, grey eagle ca, grocery stores in ramona ca, grocery stores in redding ca, grunnagle obituaries hollister ca, guadalupe ca weather, gualala ca restaurants, guerneville ca hotels, guerneville ca restaurants, gun shops in apple valley ca, gyms in bakersfield ca, gyms in fresno ca, gyms in roseville ca, h mart 1710 oakland rd san jose ca 95131, hair etc ramona ca, hair salon fairfield ca, hair salon fresno ca, hair salon stockton ca, hair salon woodland ca, haircuts redding ca, hampton inn & suites bakersfield hwy 58 ca, hampton inn blythe ca, hampton inn glendale ca, handyman in arcadia ca, hanford ca homes for sale, hanford ca obits, hanford ca population, hanford hotels ca, happy valley ca, happy wok auburn ca, harbor freight auburn ca, harbor freight in stockton ca, harbor freight stockton ca, hardwood floors santa barbara ca, harrison hotel oakland ca 94612, hatcreek ca, haven humane redding ca, hayes valley san francisco ca, hayward ca news, hcd ca gov, heating and air conditioning companies in orange county ca, heavenly sports ca main lodge retail, lancaster ca movie theater, lancaster ca news today, lancaster ca obituary, land and ocean folsom ca, land for sale in adelanto ca, land for sale in jamul ca, land for sale in littlerock ca, land for sale in manteca ca, land for sale in nipomo ca, land for sale in orange county ca, land for sale in ramona ca, land for sale in sacramento ca, land for sale in tehachapi ca, land for sale in vacaville ca, land for sale in victorville ca, land for sale lancaster ca, land for sale placerville ca, land rover dealer in irvine ca, landscaping ca, landscaping clovis ca, lapalma ca, las dos fridas seaside ca, las playas visalia ca, las vegas to riverside ca, lathrop ca map, lathrop ca schools, laton ca weather, lavender restaurant la quinta ca, lawrence welk resort fallbrook ca, le garage sausalito ca, le papagayo carlsbad ca, league house la jolla ca 92027, lego.ca, legoland ca weather, leimert park los angeles ca, lemoore ca casino, lennar homes san marcos ca, lenscrafters lancaster ca, leo carrillo state beach ca, leprino foods tracy ca, les schwab corning ca, les schwab jackson ca, les schwab marysville ca, les schwab oroville ca, les schwab patterson ca, les schwab quincy ca, les schwab selma ca, levi's stadium marie p debartolo way santa clara ca, lewis structure ca, lewis structure for ca, lewis symbol ca, library in lancaster ca, lick observatory mount hamilton road mount hamilton ca, lighthouse hotel rockaway beach avenue pacifica ca, lilac ca, lincoln ca population, lincoln ca real estate, lincoln ca zillow, lincoln ca zip codes, lincoln center stockton ca, lincoln height ca, lincoln park ca, lincoln park golf course 34th avenue san francisco ca, lincoln urgent care lincoln ca, liquor barn redding ca, listcrawler bakersfield ca, lithia toyota redding ca, little caesars greenfield ca, little caesars newman ca, little caesars pizza fresno ca, little caesars pizza lancaster ca, little caesars pizza ontario ca, little caesars pizza sonoma ca, little caesars selma ca, little caesars tracy ca, little grass valley ca, livermore hotels ca, living spaces manteca ca, locanto bakersfield ca, locksmith ontario ca, locksmith richmond ca, locksmith san francisco ca, locksmith tulare ca, lodi ca movie theater, lodi ca restaurants, loft ca, lol kids club ontario ca, lol kidz club ontario ca, lompoc ca hotels, lompoc ca map, lompoc ca restaurants, lone pine ca real estate, long beach ca 90808, long beach ca crime rate, long beach ca police department, long beach ca seafood restaurants, long beach ca zip, long beach ca zipcode, long term rv parks eureka ca, longbarn ca, loomis ca real estate, topanga ca map, topexpress carson ca, toptenwholesale.com commerce ca, torrance beach ca, torrence ca zip code, torrid redding ca, total wine & more stevens creek boulevard san jose ca, tow ca, tow truck ceres ca, tow truck davis ca, tow truck selma ca, towing ca, towing modesto ca, towing pacific grove ca, towing stockton ca, townhomes in newark ca, townhouse for rent in garden grove ca, toyota dealer lancaster ca, toyota dealer ontario ca, toyota dublin ca, toyota of lancaster ca, toyota richmond ca, toyota stockton ca, toyota sunnyvale 898 w el camino real sunnyvale ca 94087, toyota sunnyvale west el camino real sunnyvale ca, toyota visalia ca, trabajos en bakersfield ca, trabajos en ontario ca, tractor supply clovis ca, tractor supply fortuna ca, tractor supply fresno ca, tractor supply woodland ca, tracy ca costco, tracy ca nursery, tracy ca rentals, tracy ca to fresno ca, tracy ca to sacramento ca, tracy ca to stockton ca, tracy ca zip, tracy news ca, trader joe's carmel ca, trader joe's fresno ca, trader joe's long beach ca, trader joe's near riverside ca, trader joe's roseville ca, trader joe's san jose ca, trader joe's santa rosa ca, traffic conditions grapevine ca, trailas de renta en salinas ca, trailas de renta en santa ana ca, trailer parts fresno ca, trailers tracy ca, trang cá nhân của tôi, translate ca va, transmission repair bakersfield ca, trash service grand terrace ca, travel trailers for sale eureka ca, travel trailers for sale lancaster ca, travelodge by wyndham big bear lake ca, travis credit union vacaville ca, treasure dragon woodland ca, tree removal orange county ca, tree removal service ventura ca, tree trimming garden grove ca, tree trimming service fairfield ca, trees motel bishop ca, trees of mystery 15500 us 101 klamath ca 95548, tri counties bank anderson ca, tri county bank redding ca, trinidad weather ca, triple ca, trout stocking ca, troy's burger glendale ca, truck stop stockton ca, truckee ca air quality, truckee ca golf courses, truckee ca road conditions, truckee ca snow, trucking companies fresno ca, trucks for sale in ca, trucks for sale in sacramento ca, trulia davis ca, truyen truong ca hanh, ts escort fresno ca, ts escorts in ontario ca, tucoemas federal credit union visalia ca, tucson ca, tujunga ca zip code, tulare ca real estate, turkey creek estates lincoln ca, turlock ca movie theater, turlock ca zipcode, turlock hotels ca, turner's outdoorsman signal hill ca, tustin buick gmc 1 auto center dr tustin ca 92782, tustin ca ford dealership, tustin ca homes for sale, tustin ca zip codes, tv guide fresno ca, tv guide redding ca, twain harte rentals twain harte ca, sushi near long beach ca, sushi perris ca, sushi pittsburg ca, sushi redlands ca, sushi san jose ca, sushi whittier ca, sushi windsor ca, sutter ca zip code, sutter creek ca weather, sutter hospital tracy ca, sutter imaging roseville ca, sutter lab in auburn ca, swap meet san diego ca, swedish festival kingsburg ca, sweeney's brentwood ca, sweet maple 2101 sutter st san francisco ca 94115, sycamore canyon park riverside ca, sylmar ca county, sylmar ca united states, synergetics monterey ca, t mobile concord ca, t mobile ontario ca, t mobile orange ca, t mobile sacramento ca, t mobile salinas ca, t mobile stockton ca, t mobile woodland ca, t nails jackson ca, table legs amazon.ca, table mountain casino 8184 table mountain rd friant ca 93626, tachi palace jersey avenue lemoore ca, taco bell cantina sacramento ca, taco bell delano ca, taco bell los angeles ca, taco bell sonora ca, taco ca, taco loco fortuna ca, taco mex delano ca, tacoma ca, tacos la villa bakersfield ca, tacos tijuana fresno ca, tahoe joe's bakersfield ca, tahoe joe's visalia ca, tailgaters antioch ca, tamborazos en salinas ca, tanning salon granada hills ca, tao 6421 selma ave los angeles ca 90028, taqueria el guero fresno ca, taqueria guadalajara woodland ca, taqueria guerrero santa maria ca, target 1033 n hollywood way burbank ca 91505, target 12051 imperial hwy norwalk ca 90650, target 1441 w 17th st santa ana ca 92706, target 1925 douglas blvd roseville ca 95661, target 200 w orangethorpe ave fullerton ca 92832, target 24500 alicia pkwy mission viejo ca 92691, target 2499 whipple rd hayward ca 94544, target 25601 jeronimo rd mission viejo ca 92691, target 26932 la paz rd aliso viejo ca 92656, target 2920 yorba linda blvd fullerton ca 92831, target 3155 silver creek rd san jose ca 95121, target 5630 cottle rd san jose ca 95123, target 6000 sepulveda blvd ste 2250 culver city ca 90230, target 6865 hollister ave goleta ca 93117, target 8101 cosumnes river blvd sacramento ca 95823, target 900 spectrum center dr irvine ca 92618, target barranca parkway irvine ca, target bishop drive san ramon ca, target carlsbad ca, target cerritos ca, target chula vista ca, target commerce ca, target emeryville ca, target fairfield ca hours, target fairway drive roseville ca, target folsom ca, target gardena ca, target hesperia ca, target hours antioch ca, target in berkeley ca, target in carlsbad ca, target in indio ca, target in lakewood ca, target in monterey ca, target in orange ca, target in richmond ca, target in riverbank ca, target in torrance ca, target lakewood ca, target mission street san francisco ca, target mission viejo ca, target near bellflower ca, target near carlsbad ca, target near chino ca, target near commerce ca, target near cypress ca, target near davis ca, target near downey ca, target near encinitas ca, target near menifee ca, target near monterey ca, mission ventura ca, mister car wash lancaster ca, mix bakery merced ca, mk-25-ca, mls redding ca, moaning caverns ca, mobile cat grooming pasadena ca, mobile home for rent lodi ca, mobile home for sale in fallbrook ca, mobile home for sale in fremont ca, mobile home for sale in palmdale ca, mobile home for sale in sunnyvale ca, mobile home for sale pacheco ca, mobile home for sale santa ana ca, mobile home park redding ca, mobile home parks auburn ca, mobile home parks in camarillo ca, mobile home parks in hemet ca, mobile home parks in moreno valley ca, mobile home parks in oceanside ca, mobile home parks redding ca, mobile homes for rent atwater ca, mobile homes for rent hanford ca, mobile homes for rent in 29 palms ca, mobile homes for rent in chino ca, mobile homes for rent in exeter ca, mobile homes for rent in fontana ca, mobile homes for rent in hemet and san jacinto ca, mobile homes for rent in porterville ca, mobile homes for rent in rosamond ca, mobile homes for rent in westminster ca, mobile homes for rent in yucca valley ca, mobile homes for sale by owner in modesto ca, mobile homes for sale in azusa ca, mobile homes for sale in barstow ca, mobile homes for sale in camarillo ca, mobile homes for sale in carlsbad ca, mobile homes for sale in chula vista ca, mobile homes for sale in claremont ca, mobile homes for sale in fremont ca, mobile homes for sale in garden grove ca, mobile homes for sale in hayward ca, mobile homes for sale in la habra ca, mobile homes for sale in la quinta ca, mobile homes for sale in lake forest ca, mobile homes for sale in san fernando ca, mobile homes for sale in santa clarita ca, mobile homes for sale in shasta lake ca, mobile homes for sale in south gate ca, mobile homes for sale in sun city ca, mobile homes for sale in temecula ca, mobile homes for sale in tulare ca, mobile homes for sale in upland ca, mobile homes for sale in whittier ca, mobile homes for sale in windsor ca, mobile homes for sale mira loma ca, mobile homes for sale nipomo ca, mobile homes for sale orland ca, mobile homes for sale paso robles ca, mobile homes for sale riverside ca, mobile homes for sale rosamond ca, mobile homes for sale san marcos ca, mobile homes for sale stockton ca, mobile homes in lancaster ca, mobile homes in ontario ca, mobile homes in stockton ca, mobile homes palmdale ca, mochinut ontario ca, modesto ca bee obituaries, modesto ca crime, modesto ca hotel, modesto ca shooting, modesto ca to merced ca, modesto ca to stockton ca, modesto ca weather forecast, modesto ca zillow, modular homes big bear ca, moffett field ca 94035, molar mass ca no3 2, molar weight ca, molecular weight of ca oh 2, molina healthcare long beach ca, mona lake ca, mongolian bbq fairfield ca, monica's livermore ca, monkey cat restaurant & bar auburn ca, mono silabo ca ce ci co cu, montague ca 96064, montana ca, montara ca restaurants, montclair ca map, montclair ca real estate, montebello ca map, montecito ca zillow, monteray ca map, monterey ca bike rental, monterey ca earthquake, monterey ca escort, monterey ca post office, monterey ca rent, monterey ca spa, churches ridgecrest ca, chv1510 ca, ciao restaurant in vista ca, ciao restaurant vista ca, cibc rogersidv ca, cicis pizza ca, cinco de mayo martinez ca, cine en santa ana ca, cine salinas ca, cinema beaumont ca, cinemark 22 and imax lancaster ca, cinemark north hollywood 12827 victory blvd north hollywood ca 91606, cinemark richmond ca, cipponeri farms turlock ca, circus bakersfield ca, circus vargas lakewood ca, cisco ca, cisco san jose ca, citibank dublin ca, citibank fremont ca, citibank glendale ca, citibank in glendale ca, citibank modesto ca, citibank near los angeles ca, citibank oakland ca, citibank riverside ca, citibank san francisco ca, citibank san jose ca, citibank tracy ca, cities near burbank ca, cities near glendale ca, cities near merced ca, cities near modesto ca, cities near napa ca, cities near palmdale ca, cities near pasadena ca, cities near redding ca, cities near tracy ca, citrus heights ca map, citrus heights ca shooting, citrus place riverside ca, city heights san diego ca, city of apple valley ca, city of auburn ca jobs, city of bloomington ca, city of brawley ca, city of brisbane ca, city of campbell ca, city of dixon ca, city of dublin ca jobs, city of farmersville ca, city of hawthorne ca, city of huron ca, city of industry ca to los angeles ca, city of industry ca weather, city of mcfarland ca, city of murrieta ca, city of newman ca, city of newport beach ca, city of norco ca, city of pittsburg ca jobs, city of riverbank ca, city of taft ca, city park pittsburg ca, city park winters ca, city sports hayward ca, claremont ca hotel, claremont ca italian restaurants, clarion hotel eureka ca, clarksburg ca hotels, classic diner fremont ca, cleaning services calabasas ca, cleaning services ontario ca, cleaning services orange county ca, cleaning services santa clara ca, cleaning services stockton ca, clear lake ca lake level, clear lake ca map, clear lake hospital ca, clear lake resort ca, clearcaptions roseville ca, clearlake ca homes for rent by owner, clearlake ca mugshots, clearlake oaks ca real estate, cleo ca, cleone ca, clicsante.ca, cliff house folsom ca, cliff lake ca, cliffside dr & birdview ave malibu ca 90265, clima arvin ca, clima concord ca, clima de hollister ca, clima de hoy en lodi ca, clima de hoy en rialto ca, clima de richmond ca, clima de san jose ca, clima dinuba ca, clima en adelanto ca, clima en anaheim ca, clima en atwater ca, target el camino real redwood city ca, target el camino real santa clara ca, target hours marina ca, target in fairfield ca, target in oxnard ca, target in pleasanton ca, target in santa maria ca, target in temecula ca, target in yuba city ca, target livermore ca, target montclair ca, target morgan hill ca, target near arcadia ca, target near carson ca, target near cerritos ca, target near chula vista ca, target near daly city ca, target near eastvale ca, target near la verne ca, target near menlo park ca, target near newark ca, target near pacifica ca, target near petaluma ca, target near redding ca, target near rialto ca, target near san bernardino ca, target near san ramon ca, target near santa barbara ca, target near santa cruz ca, target near santa rosa ca, target norco ca, target northridge ca, target oxnard ca, target palm desert ca, target petaluma ca, target pleasanton ca, target pomona ca, target rancho cucamonga ca, target redwood city ca, target rosemead ca, target san bernardino ca, target san leandro ca, target shoreline parkway san rafael ca, target spring valley ca, target temecula ca, target west orange show road san bernardino ca, target westminster mall ca, target whittier boulevard commerce ca, target whittier boulevard pico rivera ca, target whittier ca, tarzana ca map, tassajara zen mountain center carmel valley ca, taste of india madera ca, tattoo redding ca, tattoo shop tracy ca, tattoo shops bakersfield ca, tattoo shops fresno ca, tattoo shops in auburn ca, tattoo shops in concord ca, tattoo shops in monterey ca, tattoo shops in oakland ca, tattoo shops in orange ca, tattoo shops in redding ca, tattoo shops in san bernardino ca, tattoo shops in tracy ca, tattoo shops in visalia ca, tattoo shops orange ca, tattoo shops perris ca, tattoo shops tracy ca, tattoo shops woodland ca, tax accountant dublin ca, tax attorney in san bernardino ca, tax in concord ca, tax in long beach ca, tax in oakland ca, tax preparation tracy ca, tax preparer in norwalk ca, tax rate hayward ca, tax rate in anaheim ca, tax rate in bakersfield ca, tax rate in hayward ca, tax rate modesto ca, tax rate roseville ca, tax service alhambra ca, tax services bakersfield ca, tax services pleasanton ca, taxi concord ca, taxi el centro ca 92243, taxi eureka ca, taxi fairfield ca, taxi in dublin ca, taxi in huntington park ca, taxi merced ca, taxi pleasanton ca, taxi san bernardino ca, taxi santa rosa ca, taxi sonora ca, taxi ukiah ca, taxi visalia ca, taxi woodland ca, taylor morrison pittsburg ca